
-
Epson CB-4650
Epson CB-4650
5200 流明色彩亮度,可投射大画面 分辨率XGA,呈现高清晰的图像 高画质,采用爱普生原创水晶高清技术 高可靠,采用爱普生原创无机液晶面板 镜头可位移 多种图像校正方式
高品质的影像
高亮的大画面影像
最大亮度5200 流明,即使在演讲大厅、大型会议室和礼堂,爱普生工程投影机也能投射出高质量的图像。
三片液晶投影技术
3LCD 技术以平滑的色彩变换实现卓越的图像质量,实现色彩平滑变换,使投影图像更加清晰、炫目。
爱普生水晶高清技术
在之前仅用在高端的家庭影院投影机中的爱普生独有的水晶高清技术,如今首次运用于高端工程投影机。水晶高清技术采用具有垂直取向(VA)技术的无机液晶面板,保证更高的对比度和高质量的平滑影像。
自动光圈
超高精度自动光圈控制系统可以实现5000:1 的高对比度。该系统可以检测到每个场景的固有亮度水平,并自动调整光输出到最佳水平。因此,即使对于明暗快速切换的场景,投影机也能瞬时调整,以确保深黑和准确的色彩再现。自动光圈通过移动上下快门,即时优化光输出,实现水晶般清晰的高亮和深黑的画质投影。
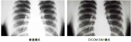
DICOM SIM 模式
DICOM SIM 模式可以清晰的还原具有更深阴影的医疗图像(如X- 射线数字图像和其他医疗图像),在医疗教学环境中使用。
* 该投影机非医疗设备,不能在日常诊断中使用。
该芯片通过精确的I/P 转换和图像细节缩放,投影出平滑、逼真的运动影像。
安装方便
快速调节镜头移动
垂直镜头移动(上下)最大58%,水平镜头移动(左右)最高38%,使投射画面的调整变得更加容易。对于投影机和屏幕位置,用户也有更加灵活的选择。
投影机镜头锁
投影机配有镜头锁,在调整好镜头位移位置后,可以将镜头锁住,避免镜头调好后,再次位移的情况。
内置多画面拼接系统
弧形校正
当投影图像在屏幕上出现弧形时,使用此功能可快速、轻松的校正投影图像。
点校正
当单台投影机投射图像扭曲或多台投影机投射图像边缘重合部分未对准时,使用点校正功能,即使是大幅屏幕,也可以快速、轻松地点对点的从上到下或从左到右校正投影图像,最大可以校正9 x 9 个点。
多屏幕色彩调整
校正每台投影机的投影亮度和色彩,使每台投影机的亮度和色彩保持一致。
图像校正
色彩均匀度校正
可通过菜单,校正画面的均匀度,使画面更加完美。
Gamma 校正
Gamma 校正允许你调整投影图像中间层次的亮度。
RGB 校正功能
在暗场通过单独减少红绿蓝三色,校正亮度和色调;在亮场通过增加红绿蓝三色,校正亮度和色调。
RGBCMY 校正功能
通过增减RGBCMY 六色的色相、饱和度和亮度,校正图像的色彩。
更多的应用功能
双画面并列投影
可以让单台投影机同时投影两路不同的输入信号源,比如在进行高清视频会议时,可以同时投影远端参会者视频影像和电脑上播放的演示材料。
日程管理功能
内置时钟,投影机可以在不外接电脑的情况下按日程表执行程序。用户可以注册多达30 个程序。
更多的应用功能
监视和控制
可通过爱普生自带的Esay MP Monitor软件监视投影机状态和控制投影机运行; 可很好的同Crestron\AMX\Extrion 等中控设备兼容。
网络投影
可通过有线网络或选配无线网卡,使用自带的EasyMP network projection软件进行有线或无线网络投影。
丰富的接口
外观设计适用于任何空间
精致设计的外观,整洁优雅的外壳,展现了这款旗舰产品的艺术气质和令人震撼的力量。
白色的外壳,优雅的轮廓
抛光的设计能匹配任何环境,即使是礼堂和大型教室等场所。对于任何安装方案,柔和的白色外观,都不会显得突兀。
可选的用户吊架突出了设计的平衡,使整个空间设计完好相配。
中置镜头
镜头居中设计,避免了许多安装上的繁琐。可以快速对准吊架,投影机中心,屏幕中心不必考虑投影中心的镜头偏移。
|
投影系统 |
RGB 光阀式液晶投影系统 |
|
主要部件技术参数 |
LCD |
液晶板 |
0.63 英寸含微透镜 |
|
驱动模式 |
多晶硅TFT 有源矩阵 |
|
像素数 |
786,432 点(1024 x 768) x 3 |
|
实际分辨率 |
XGA |
|
纵横比 |
4:3 |
|
刷新率 |
50-60Hz |
|
投影镜头 |
类型 |
光学变焦 ( 手动) / 对焦 ( 手动) |
|
参数 |
F=1.50-2.15 / f=16.72mm -33.47mm |
|
变焦比 |
1-2.0 |
|
镜头位移范围 |
垂直: -58% 到 +58% ( 水平居中) ( 手动) 水平: -38% 到 +38% ( 垂直居中) ( 手动) |
|
灯泡*1 |
类型 |
280 W UHE |
|
寿命 |
5000小时(标准亮度模式) 4000小时(高亮度模式) |
|
亮度*2*3 |
标准亮度模式 |
5200 流明 ( 色彩模式: 动态, 变焦: 广角, 镜头位置: 垂直居中 / 水平居中) |
|
环保亮度模式 |
3700 流明( 色彩模式: 动态, 变焦: 广角, 镜头位置: 垂直居中 / 水平居中) |
|
色彩亮度*2*3 |
5200 流明( 色彩模式: 动态, 变焦: 广角, 镜头位置: 垂直居中 / 水平居中) |
|
对比度*2*3 |
5000:1 (自动光圈: 开) ( 色彩模式: 动态, 耗电量: 标准模式, 变焦: 广角) |
|
色彩再现 |
全彩(10.7374 亿个颜色 ) |
|
色彩处理 |
全10 位 |
|
屏幕尺寸 ( 投影距离)(标准镜头) |
30 -300 英寸 [ 0.74 米-7.84 米] ( 变焦: 广角),30 -300 英寸 [ 1.55 米-15.90 米] ( 变 焦: 长焦) ,100" 屏幕 2.58 米 - 5.27 米 |
|
投射比 |
1.27-2.59 |
|
几何校正投影图像 |
水平梯形校正(标准镜头) |
-30 度 至 +30 度 ( 变焦: 长焦) |
|
垂直梯形校正(标准镜头) |
-30 度 至 +30 度 ( 变焦: 长焦) |
|
四角校正 |
是 |
|
点校正 |
是 |
|
弧形校正 |
是 |
|
视频处理 |
3D Y/C 分离 |
|
3D 降噪 |
|
蚊子降噪 |
|
DCDi 视频处理技术 |
|
色彩模式 |
电脑 |
标准 |
照片/ 上演/ 剧院/ 动态/sRGB/ 多画面投影/DICOM SIM |
|
视频 |
标准 |
运动/ 演示/ 剧院/ 动态/sRGB / 多画面投影 |
|
易用功能 |
清晰度调节 |
细线条、粗线条、垂直线条、水平线条增强调整 |
|
Gamma 校正 |
9 点 gamma 曲线可调 |
|
RGB 校正 |
红绿蓝三色可调 |
|
RGBCMY 校正 |
RGBCMY 六轴 色彩 / 饱和度 / 亮度可调 |
|
双画面投影 |
是 |
|
记忆 |
记忆1 - 10 个( 可更改存储的名字) |
|
像素偏移校正 |
是 |
|
色彩均匀度校正 |
是(动态和运动模式不能使用) |
|
用户标识 |
是 |
|
多屏幕校正 |
是 |
|
日程管理 |
是 |
|
信号源自动搜索 |
是 |
|
自动侦测 RGB 和分量视频 |
是 |
|
数字变焦 |
是 |
|
画面冻结 |
是 |
|
内置扬声器 |
声音输出 |
10 W 非立体声 |
|
有效扫描频段( 模拟) |
点时钟 |
13.5 MHz to 162 MHz up to UXGA 60 Hz |
|
水平 |
15 kHz to 92 kHz |
|
垂直 |
50 Hz to 85 Hz |
|
有效扫描频段(HDMI) |
点时钟 |
13.5 MHz to 162 MHz |
|
水平 |
15 kHz to 75 kHz |
|
垂直 |
24Hz 30Hz 50 Hz 60Hz |
|
模拟RGB 输入/ 输出 |
显示性能 |
固有 |
1024 x 768 点 |
|
输入信号 |
信号类型 |
分离信号 |
|
视频信号 |
模拟(0.7 Vp-p, 75 ohm / Mac 0.714 Vp-p, 75 ohm) |
|
同步信号 |
分离/ 复合/ 绿色同步 |
|
声音信号 |
500 mVrms / 47 k-ohm |
|
输入端口 |
视频 |
D-sub 15pin x 1(蓝色),5-BNC x1 |
|
声音 |
立体迷你声接口x3,音频 1: 电脑,音频 2: BNC,音频 3: HDMI 或 DisplayPort |
|
输出端口 |
视频 |
D-sub 15pin x 1 (黑色)( 输出信号 : 仅电脑、5-BNC) |
|
声音 |
立体迷你声接口 x 1 |
|
视频输入/ 输出 |
显示性能 |
复合输入: NTSC:480 线 ,PAL: 576 线 (依据多脉冲图样的探测) |
|
输入信号 |
视频标准 |
NTSC / NTSC4.43 / PAL / M-PAL / N-PAL / PAL60 / SECAM |
|
视频信号 |
复合视频 (1.0 Vp-p / Sync.negative,75 ohm)/ S-Video(Luminous 0.714 Vpp, Chrominous 0.286 Vp-p, 75 ohm) / 分量视频(Analog Y level 0.7 V, 75 ohm / Cr Cb level +/-0.35 V, 75 ohm / sync. negative 0.3 V or 3-state +/-0.3 V on Y)/视频RGB(0.7 Vp-p,75 ohm / Mac 0.714 Vp-p,75 ohm) |
|
声音信号 |
500 mVrms / 47 k-ohm |
|
输入端口 |
视频 |
复合视频: RCA ( 黄) x 1,S-Video: Mini DIN,分量视频: 5-BNC,迷你 D-sub 15pin x 1(蓝色)( 模拟RGB 接口),视频RGB:5-BNC,迷你D-sub 15pin x 1(蓝色) ( 模拟RGB 接口) |
|
声音 |
RCA ( 白/ 红) x 1 对( 复合视频和S-Video) |
|
HDMI |
显示性能 |
固有 |
1024 x 768 点(XGA) |
|
|
支持 |
视频标准到1080p,PC 标准到UXGA-60,宽屏PC 标准到WXGA 60,兼容模式 (WXGA) |
|
视频标准 |
480i / 576i / 480p / 576p / 720p / 1080i / 1080p |
|
视频信号 |
TMDS |
|
声音信号 |
线型PCM |
|
HDCP |
是 |
|
输入端口 |
HDMI×1 |
|
DisplayPort |
显示性能 |
固有 |
1024 x 768 点(XGA) |
|
视频信号 |
Lane 线路 : 1 / 2 / 4 线路Lane,Link Rate 连接比率 : RBR / HBR,色彩深度 : 6 / 8 位,格式 : RGB / YCbCr4:4:4 / YCbCr4:2:2 |
|
声音信号 |
线型 PCM |
|
输入端口 |
DisplayPort x 1 |
|
DPCD |
是 |
|
控制输入/ 输出 |
串口输入/ 输出 |
输入/ 输出端口 |
D-sub 9pin x 1 |
|
输入/ 输出信号 |
RS-232C |
|
遥控输入 |
输入端口 |
立体声迷你接口 x 1 |
|
输入信号 |
EPSON 格式 |
|
网络输入/ 输出 |
有线网络 |
RJ45 x 1 100Mbps |
|
无线网络 |
输入/ 输出接口 |
Type A x1 ( 无线网卡) |
|
无线网络单元 |
选配 |
|
维护 |
USB 输入/ 输出 |
输入/ 输出端口 |
USB mini B x 1 ( 仅用于升级) |
|
I/O 速度 |
USB Ver. 2.0 |
|
操作温度 |
0 ℃ to 45 ℃ (32 °F to 113 °F) ( 湿度20%-80% 未凝结 ) |
|
操作高度 |
可达到2000 米(6562 英尺),超过1500 米(4921 英尺)区域:应用高海拔模式 |
|
贮藏温度 |
-10 ℃ to 60 ℃ (14 °Fto 140 °F) ( 湿度10%-90% 未凝结 ) |
|
启动时间 |
约10 秒,预热时间:约30 秒 |
|
直接开机 |
是 |
|
直接关机 |
是 |
|
空气过滤网寿命*4 |
10000 小时 |
|
冷却时间 |
0 秒(关机后,风扇立即停转) |
|
电源电压 |
100 - 240 V AC ±10%, 50/60 Hz |
|
功耗(220-240V) |
运行 |
388 W( 耗电量: 标准模式 ) / 298 W( 耗电量: ECO 模式) |
|
待机 |
4.6 W(网络:开)/ 0.39 W(网络:关) |
|
尺寸 ( 长 x 宽 x 高) |
不含支撑脚 |
472 x 134 x 320mm |
|
最大尺寸 |
472 x 159 x 354 mm |
|
重量( 包含镜头) |
约 14.3 l bs. / 6.5 kg |
|
风扇噪音 |
30 dB ( 耗电量: ECO 模式) |
备注:
*1 上述时间为非承诺保修时间。灯泡亮度将随使用时间的增加而逐渐降低。灯泡实际使用寿命受使用模式、环境条件、用户使用习惯等因素影响会有很大差别。投影机在低亮度模式下使用,灯泡使用寿命会得到有效延长。
*2 《信息显示测量标准》(IDMS)2012年6月发布了色彩亮度的测量方法,《信息显示测量标准》(IDMS)由国际信息显示协会(SID)管理下的国际显示计量委员会ICDM负责编写。基于ISO21118标准制定,该标称值代表量产时产品的平均值,而产品的出厂最低值为标称值的80%。
*3 亮度、对比度数据基于:颜色模式:动态、变焦:广角、自动光圈:开。
*4 本产品可安全使用的地区:海拔高度2000m及2000m以下地区(基于中国国家标准GB4943.1-2011)。